A bright smile can improve looks and aid self-assurance. With multiple teeth whitening treatment choices available on the market, it might be difficult to establish which one works exactly. Known for its advanced technology and guarantee of great results, GLO Teeth Whitening is a common pick among people. But does it truly function? In this comprehensive blog guide, we will look at GLO teeth whitening before and after results, the mechanism, its advantages, and actual consumer experiences.
What Is GLO Teeth Whitening?
The combination of heat and LED light to quicken the whitening process, GLO (Guided Light Optics) Teeth Whitening is a professional-quality dental whitening technology. GLO differs from conventional whitening trays or strips in that it uses a patented mouthpiece that provides controlled heat and light to engage the whitening gel. Therefore, it guarantees even results with little sensitivity.
GLO is presented in several variations:
- Home kit of GLO Brilliant Teeth Whitening Device
- GLO Vials (on-the-go touch)
- Professional GLO whitening (in-office treatment)
This technology is intended to produce fast outcomes while avoiding well-known side effects, including gum irritation and tooth sensitivity.
How Does GLO Teeth Whitening Work?
Follow a simple method to get the best GLO teeth whitening before and after results –
- Preparation: Users brush and floss their teeth to get rid of any plaque or debris before whitening.
- Application of Whitening Gel: A small amount of GLO whitening gel is spread over teeth. One component of the gel is hydrogen peroxide, which erases stains easily.
- Activation with LED and Heat: The GLO mouthpiece is slid into the mouth and switched on with LED and heat. It speeds up the whitening using mild heat and LED light.
- Short Treatment Sessions: Every session runs approximately 8 minutes. For best results, users usually do several sessions daily.
- Repeat for Best Results: Users may repeat the treatment several times daily, depending on the kit, to attain their chosen whiteness.
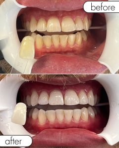
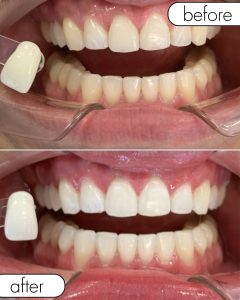
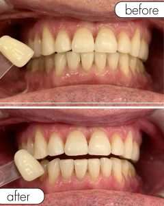
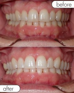
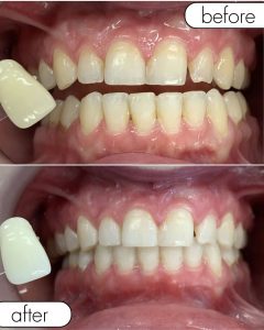
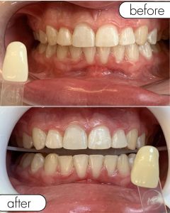
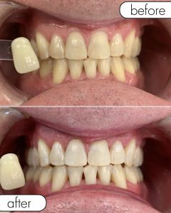
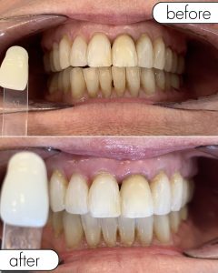
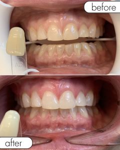
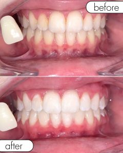
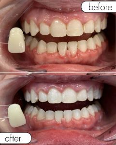
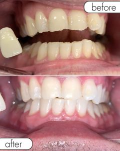
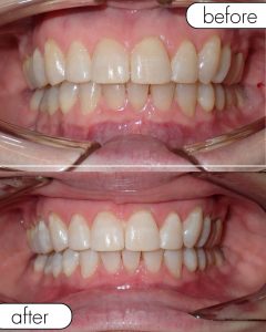
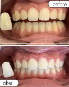
What to Expect from GLO Teeth Whitening Before and After

Immediate Results – Some users report seeing a noticeable difference after just one session. The combination of light and heat speeds up the bleaching process, lifting surface stains effectively.
After a Few Days – Within 3-5 days, most people see a visible improvement in their teeth color. Yellow or brown stains from coffee, tea, red wine, and smoking are significantly reduced.
Final Results – After 7-10 days of consistent use, GLO teeth whitening before and after typically delivers full results. Teeth appear significantly whiter, and many users experience a brightness boost of 5-7 shades.
Longevity of Results – The whitening effects of GLO can last for several months, depending on lifestyle and oral hygiene habits. Avoiding staining foods and beverages, maintaining good dental hygiene, and using GLO maintenance products can help extend the results.
Does GLO Teeth Whitening Really Work?
Scientific Backing – GLO’s technology is based on professional whitening principles used in dental offices. The combination of LED light and controlled heat enhances the effectiveness of hydrogen peroxide, leading to faster and deeper stain removal.
Customer Reviews – Most users report positive results, with many showcasing impressive before-and-after photos. They highlight:
- Noticeably whiter teeth within days
- Minimal sensitivity compared to other whitening methods
- Easy and convenient use at home
However, some users note that deep, intrinsic stains (caused by aging or medications) may require multiple treatments or professional intervention.
Get the Best GLO Teeth Whitening Before and After Results with Dr. Amy James and Associates Orthodontists
For those seeking professional GLO teeth whitening before and after services, Dr. Amy James and Associates Orthodontists offers customized solutions to help you achieve a dazzling smile. Our advanced teeth-whitening treatments use cutting-edge technology to remove stubborn stains safely and effectively. Unlike over-the-counter products, professional whitening with Dr. Amy James and Associates Orthodontists ensures longer-lasting results with reduced sensitivity. Our expert team provides personalized care, making the process comfortable and efficient for patients looking to enhance their smiles.
Is GLO the safest and best Teeth Whitening Option?
Yes, GLO teeth whitening before and after is designed with safety in mind. The controlled heat prevents gum irritation, and the gel is formulated to minimize sensitivity. However, it is recommended for users to:
- Follow instructions carefully
- Avoid overuse to prevent enamel damage
- Consult a dentist if they have existing dental conditions like cavities or gum disease
Who Should Use GLO Teeth Whitening?
GLO is ideal for individuals who:
- Want professional-level whitening at home
- Experience sensitivity with traditional whitening products
- Need fast results for an event or special occasion
- Are you looking for an easy and mess-free whitening solution
Conclusion
In a nutshell, it can be concluded that based on scientific principles, customer reviews, and before-and-after results, GLO Teeth Whitening is a highly effective option for achieving a brighter smile. However, GLO teeth whitening before and after results vary depending on individual teeth conditions, most users experience significant whitening with minimal discomfort.
If you’re looking for a safe, convenient, and effective GLO teeth whitening before and after solution, connect with Dr. Amy James and Associates Orthodontists. For best results, maintaining good oral hygiene and occasional touch-ups will keep your smile bright and white.















